急速凍結固定による分離破骨細胞

急速凍結固定による分離破骨細胞

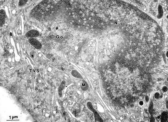
【写真説明】
培養破骨細胞から分離した破骨細胞には細胞内小管系構造が見える。この構造は細胞質中に観察され、縦横に走行しているが、通常の化学固定では小胞状に断裂膨化する傾向にある。凍結固定することにより明瞭な小管構造が保存される。Invivoの状態でも同様な構造が観察され、破骨細胞と同様な酸分泌を行なう胃壁細胞と共通の特徴を示す構造と考えられる。

ウィンドウを閉じる